Che cos’è la cardiologia?
La cardiologia si interessa dell’apparato cardiovascolare, cioè al cuore e ai vasi (arterie e vene), alla prevenzione e al trattamento delle anomalie e delle patologie che ne possono interessare come: l’infarto del miocardio, l’ipertensione arteriosa, lo scompenso cardiaco, turbe del ritmo, angina, arteriosclerosi ecc… Il medio specialista che se ne occupa è il Cardiologo.
Quando consultare un cardiologo?
In cardiologia la prevenzione è fondamentale e sono molti i fattori di rischio cardiovascolare da tenere sotto controllo: diabete, sovrappeso, ipercolesterolemia, fumo ecc. Quindi tranne in caso di urgenza, sarà il proprio curante a consigliare la visita cardiologica. Oggi le malattie cardiovascolari restano la causa principale di morte in Italia e nel mondo occidentale, davanti ai tumori.
Che cosa fa il cardiologo?
Il cardiologo interroga il paziente sulle sue abitudini di vita e la familiarità per patologie cardiovascolari.
Successivamente si procede all’esame obiettivo attraverso l’auscultazione cardiaca e polmonare e misurare la pressione arteriosa. Dopodiché per vedere l’apparato elettrico del cuore si procede ad eseguire un elettrocardiogramma a 12 derivazioni per scoprire eventuali aritmie cardiache (come la fibrillazione atriale, la pre-eccitazione ventricolare o sindrome di WPW, sindrome di Brugada..), anomalie ischemiche (infarto del miocardio) ed anomalie morfologiche come ad esempio l’ipertrofia ventricolare destra e sinistra.

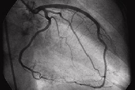
Se si valuterà la necessità di approfondire con esami di secondo livello, il cardiologo può richiedere: l’ecocardiogramma c/d, l’ecodoppler dei vasi epiaortici, test da sforzo, scintigrafia miocardica, tc cuore, RM o la coronarografia.

Trattamento?
La presa in carica dei problemi cardiovascolari passa generalmente prima per un miglioramento delle abitudini di vita (attività fisica, psichica, ridurre lo stress), successivamente si passa al trattamento medico o chirugico.
La cardiologia interventistica è una particolare forma di chirurgia. Si può realizzare sia in urgenza che non, permette di trattare alcune patologie coronariche, valvolari, aritmiche per via endovascolare.
Presso il Poliambulatorio Physiofit di Latina, riceve su appuntamento il Cardiologo, Dottor Stefano De Angelis.
Physiofit, Fisioterapia Latina, ha tutto il necessario per prendersi cura di te.
Prenderci cura di te è la nostra Missione
Dal Lunedì al venerdì. Dalle 8.00 alle 20.00